歯周病予防歯磨き粉を選ぶポイント
白く綺麗な口元でいたい、というのは誰もが願う事だと思います。 しかし、歯周病になると、歯ぐきは赤く腫れて歯もグラグラ、とてもじゃないけど、...
白く綺麗な口元でいたい、というのは誰もが願う事だと思います。 しかし、歯周病になると、歯ぐきは赤く腫れて歯もグラグラ、とてもじゃないけど、...
はちみつ(蜂蜜)と人間との付き合いは古くて、人類の発展とともにありました。 砂糖の無い時代、甘味料としては重宝されたもので、人間はその甘み...
喫煙が「体に悪い」という事は、誰もが知っている事実です。 しかし、「体に悪い」といった漠然とした知識では禁煙しなくてはと、わかってはいても...
口は食べ物を体内に取り入れる「入口」で大切な器官です。 ところが口腔内には300種類とも400種類とも言わる細菌(善玉菌、悪玉菌が一緒に)...
お口のケアは様々あります。 例えば世界一虫歯の治療がうまい方と、虫歯にならない歯を作れる歯科医がいた場合どちらの先生にかかりますか? も...
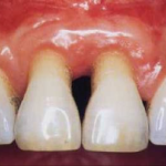
歯周病とは、歯と歯茎の境目に付着したプラークや歯石の中の細菌が原因で、歯茎と歯茎の中の骨に炎症を与え歯茎や骨を溶かす病気です。 歯石は...
歯周病はかかってしまうと治療が難しく、悪化させると身体のいたるところに感染症を引き起こすリスクを持っています。 それもそのはずで、歯の根元...
歯周病は怖い病気です。 なぜかというと、肺炎の原因にもなっているからです。 近年日本の死因のトップ3にランクされている肺炎ですが...
「歯周病」という言葉はメディアでもよく取り上げられており近頃よく耳にしますね。 また、スーパーやドラックストアでは、歯周病に効く歯磨き...
歯周病の原因、一般的な解説は「プラークに歯周病菌が住みついて歯肉が炎症を起こして、骨が溶けていく」。 だから歯磨きをしてプラークの付着を防...