歯周病は怖い病気です。
なぜかというと、肺炎の原因にもなっているからです。
近年日本の死因のトップ3にランクされている肺炎ですが、この原因に歯周病が関係しています。
これは歯周病菌のついた食べかすなどが気管支に入り肺炎へと至る場合があるためです。
また、血管を通して体中のいたるところへ拡散していくので、歯周病を悪化させると抜歯のみでは済まない場合があります。
また、成人の多くが歯周病菌に感染しており、歯周病もしくは歯周病予備軍であると言われています。
そんな怖い歯周病の対策にはどういったものがあるか今回ご説明します。
<関連記事> 歯周病予防・口臭予防の薬用マスティック&アロマの効果は?口コミ・評判は?
1. 歯周病予防の王道は定期的なPMTC
歯周病の予防の王道がPMTCです。
PMTCとはProfessional Mechanical Tooth Cleaningの略で、歯科衛生士さんによる専門の器具を用いたクリーニングです。
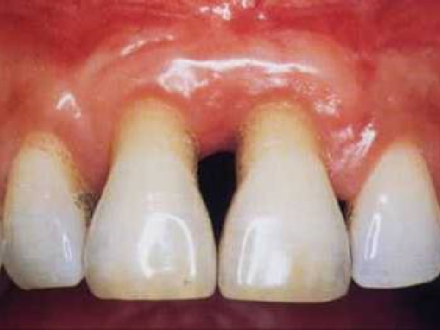
歯周病は感染症で、歯や歯茎に歯周病菌が潜んでいます。
この歯周病菌が体の免疫低下などで増殖し、重度の状態になると歯周病となります。
歯周病は自覚症状を感じにくいのも特徴で、気づいたときには悪化させて、歯の根元に膿がたまり歯がぐらついていたなどもよくある話です。
つまり、歯周病予防の王道は、歯周病菌を除去してしまいことにあります。
これは日々の歯ブラシによるブラッシングでもできますが、歯の最表面にいる歯周病菌はバイオフィルムという膜で自分達を保護しているため、ブラッシングでは除去できません。
そこで行われるのがPMTCです。
このPMTCでは特殊な器具を用いて洗浄するので、バイオフィルムを破壊して歯周病菌や虫歯菌を根こそぎ除去します。
これにより、口内に細菌がいない状態を作り出すこと可能です。
一度のPMTCで歯周病菌の極端に少ない口内が得られますが、歯周病菌は次第に増えていきますので、増えた段階で再度PMTCを行います。
つまり、PMTCは一度ではなく数か月に一度といった頻度で定期的に実施していきます。
歯の表面についている歯石も口臭の原因や歯周病菌の住処となっているので、この歯石も歯医者さんでしっかりと除去してもらいましょう。
<関連広告>あなたの口臭は大丈夫ですか?
![]()
2. ブラッシングで歯周病菌を除去及び血行を改善
歯周病菌は除去してしまうことが予防の第一歩です。
このためには、日々のブラッシングが非常に有効です。
歯周病菌の除去には歯磨き粉はあまり役に立たず、ブラシにより物理的に掻き出します。
歯周病菌は歯垢の中や歯と歯茎の間などに潜んでいるので、歯垢がたまりやすい箇所をしっかりと磨きます。
また、フロスや歯間ブラシを用いるのも効果的です。
ポイントは歯垢をしっかりと掻き出すことです。
ブラッシングしていると、歯茎にもブラシが当たり、血行が促進されるため、歯周病予防にも役立ちます。
<関連広告>歯周病対策に効果!【伝統爽快なたまめ歯磨き粉】
![]()
3. 歯周病内科で体内から歯周病を治療
歯医者さんに行っても歯周病が治らない、という方には最近広まりつつある歯周病内科を試してみることをおすすめします。
歯周病菌は細菌ですので抗生物質が効きます。
歯科医療の進歩でジスロマックという飲むだけで歯周病に効く薬ができていますので、この抗生物質を飲んで治療します。
<関連広告>[薬用マスティック&アロマ」が口臭・歯周病対策になる訳は?
まとめ
いかがでしたか?歯周病は悪化すると本当に怖い病気です。
治療は歯周病菌の除去ですので、一度悪化させるとご家庭では治しにくい病気でもあります。
歯がぐらついていたり、歯茎から出血していたり、膿が出ていたりした場合は歯医者さんに行かれることをおすすめします。
PN:ポリフェノール横山

